こんなことに不安
ありませんか?

Are you worried about this?
リスクを最小限にしたい
リスクを
最小限にしたい
見た目を良く仕上げたい
見た目を
良く仕上げたい
早く治療を終わらせたい
早く治療を
終わらせたい
毎日の入れ歯の手入れがめんどう
毎日の入れ歯の
手入れがめんどう

当院がその願いを叶えます

ConceptAll-on-4について

All-on-4(オールオンフォー)は、上顎・下顎に4本ずつのインプラントを埋入し、
その上に全ての人工歯を固定する画期的な治療法です。
従来のように10本以上のインプラントを必要とせず、
骨のある部分を活かして傾斜埋入することで、骨移植なしでも対応できるケースが多いのが特徴です。
手術当日に仮歯を装着できる「即時荷重」に対応しており、

「手術をしたその日から食事や会話ができる」という大きなメリットがあります。
これまで「治療に時間がかかる」「費用が高い」「痛そうで怖い」と感じていた方も、
All-on-4であれば、身体的にも精神的にも負担を軽減しながら治療を受けることができます。

All-on-4について
All-on-4について
All-on-4について

PointAll-on-4の特徴

All-on-4は、少ない本数のインプラントで多数の歯を支えることができる、
画期的な全顎再生治療です。
手術の負担が少なく、骨の量が足りない方でも対応できる可能性が高いため、
これまでインプラントを諦めていた方にも新しい希望をもたらします。

MORE

歯科麻酔専門医と連携して眠っている間に終わる手術

Point01

歯科麻酔専門医と連携して
眠っている間に終わる手術

全てのAll-on-4の手術に歯科麻酔医が同席して静脈鎮静下にて行っています。歯科麻酔専門医の管理下で手術を行いますので、不安・怖い・痛いを最小限にした手術をしています。痛みや恐怖が強い方や、ご高齢の方でも安心で術つごの気持ち悪さや・だるさの軽減にも配慮しています。

Nobel Biocare純正パーツのみを使用した公式プロトコールによる“本物のAll-on-4”

Point02

Nobel Biocare純正パーツのみを
使用した公式プロトコールによる
“本物のAll-on-4”

All-on-4の開発者のDr Pole Maroの咬合哲学と設計思想を忠実に守り、非純正パーツによる破損・不適合リスクを避け、長期的に安心して使える正規クオリティの治療を提供します。

デジタル精密設計×審美再建“美しく噛めるAll-on-4”

Point03

デジタル精密設計×審美再建
“美しく噛めるAll-on-4”

3DフェイススキャンやCT、口腔内スキャナーによる完全デジタルのフル設計と診断で歯と口元だけでなくお顔のバランスにも配慮した設計を提供しています。また術後のメンテナンスと清掃性を大切にして炎症や口臭トラブルを軽減します。

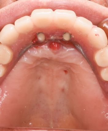
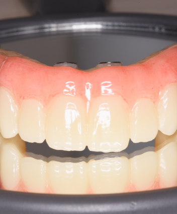
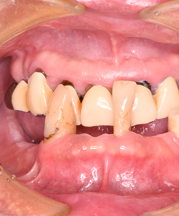
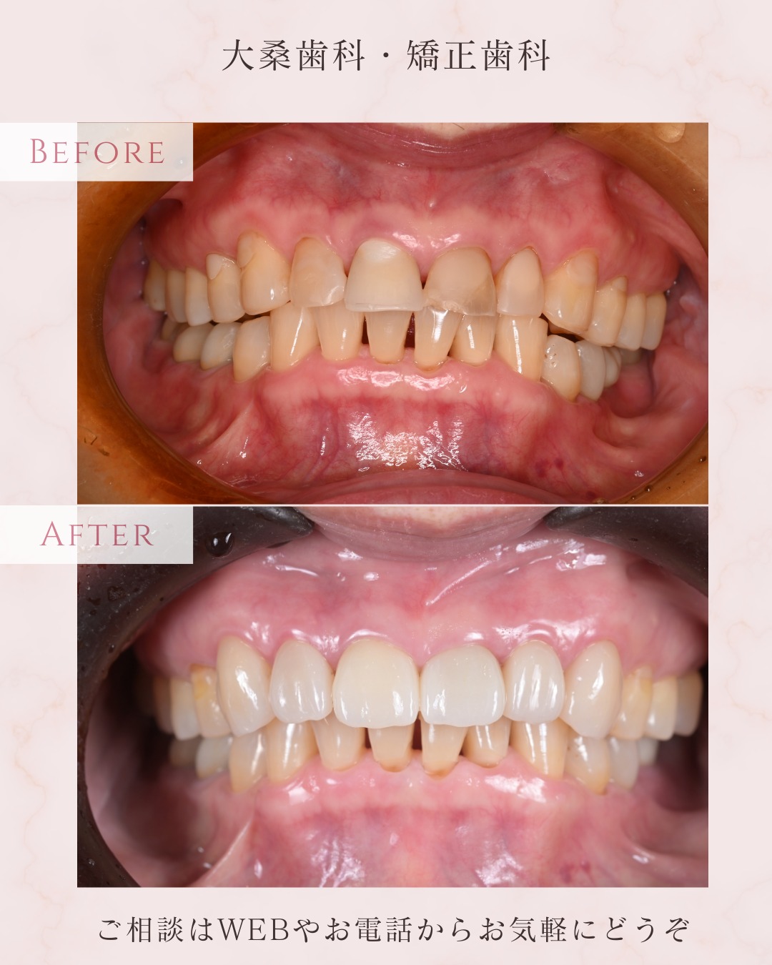
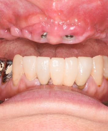
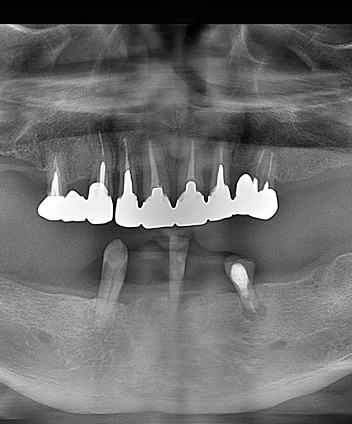
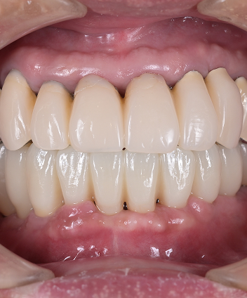
Treatment Case

Treatment
Case

Treatment Case
Treatment Case
Treatment Case
Treatment Case
Treatment Case
Treatment Case
Treatment Case
Treatment Case
Treatment Case
Treatment Case

Flow治療の流れ

カウンセリング・CT撮影

STEP01

カウンセリング・CT撮影Counseling and CT scan

歯・骨・神経の状態を精密に診断し、治療の可否を判断します。

治療計画のご説明

STEP02

治療計画のご説明Explanation of treatment plan

シミュレーション画像を用いて、手術内容・費用・期間を丁寧にご説明します。

インプラント手術(4本埋入)+仮歯装着

STEP03

インプラント手術(4本埋入)
+仮歯装着Implant surgery

静脈内鎮静法を併用し、リラックスした状態で手術可能。当日中に仮歯を装着することで、見た目・機能をすぐに回復できます。

治癒期間(約6〜10ヶ月)

STEP04

治癒期間(約6〜10ヶ月)Treatment duration

骨とインプラントの結合を確認しながら、仮歯で生活していただきます。

メンテナンス・定期検診

STEP05

メンテナンス・定期検診Implant surgery

定期的なクリーニングと噛み合わせチェックで長期的な安定をサポートします。

Price料金表

All-on-4の費用は、使用する素材や治療範囲によって異なりますが、
当院では治療前に必ずCT診断・見積り・治療説明を行い、ご納得いただいた上で進めております。
まずは無料カウンセリングで、詳しいお見積りをご確認ください。

MORE

Blogブログ

Calendarカレンダー

Accessアクセス